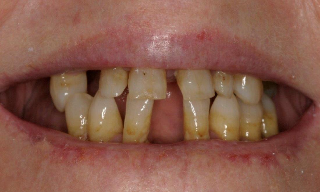
This patient came to us in need of a full mouth reconstruction, and using dental implants, we were able to give her a new smile that she can be proud of.
This patient came to us in need of a full mouth reconstruction, and using dental implants, we were able to give her a new smile that she can be proud of.
With the recent news and public impact of the coronavirus (COVID-19), our dental team wanted to share some of the protocols we have in place to protect your health and wellness at your dental visit.
As part of your health care team, we are monitoring changes and updated guidelines set forth by the Australian Department of Health and the World Health Organization (WHO) in our practice, interactions, and work environment to ensure patient and team safety. Since information is updated regularly, we recommend checking the latest recommendations.
Your number one line of safety is an educated and dedicated dental team. We have met with our entire staff to discuss protocols for keeping ourselves and patients safe, including symptoms to look for and what to do in the event of exposure.
Please contact us right away if any of the following conditions apply:
We are happy to rearrange bookings for patients who feel unwell or suspect they may have COVID-19.
Practising common sense caution can help slow the spread of coronavirus. Here are some vital actions you can take, recommended by the WHO.
If you have recently found disinfectants unavailable due to the demand for these products, you can make your own solution at home using 1/3 cup of bleach per gallon of water. Never mix bleach with any other types of cleaners or ammonia. You can also use alcohol solutions at 70% alcohol or higher.
If you have any questions or concerns about coronavirus, the action we are taking, or if you should come in for your dental appointment, we welcome you to call our clinic.