Garden City Implant Dental

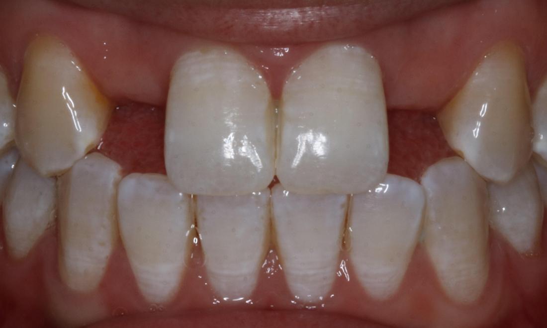
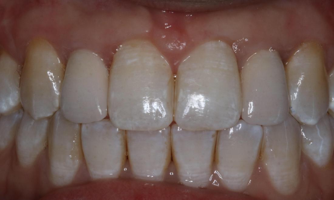
Dental Implants

Related Services:

Dental Implants
Ready to book an appointment?
Any surgical or invasive procedure carries risks, and we recommend seeking a second opinion from an appropriately qualified health practitioner before proceeding.
Disclaimer: The information throughout this site is not intended to be taken as medical advice.